01 文章信息

文章题目:ACK1 condensates promote STAT5 signaling in lung squamous cell carcinoma
文章主题:ACK1 凝聚体促进肺鳞状细胞癌中的 STAT5 信号传导
作者信息:华中科技大学同济医学院刘安冬等人
组学技术:RNA-Seq
02 研究背景
ACK1 作为一种非受体酪氨酸激酶,可通过磷酸化多种底物参与癌症进展,其致癌活性已知受基因扩增、突变及翻译后修饰调控,且在前列腺癌、非小细胞肺癌等多种癌症中过表达,是潜在抗癌靶点;而液---液相分离(LLPS)作为细胞区室化的关键机制,已被证实可调控信号通路的时空动态,但 ACK1 的额外调控机制尚未完全明确,其在肺鳞状细胞癌(LUSC)中的具体作用及是否涉及 LLPS 仍有待探索,这构成了本研究的核心背景。
03 研究思路

04 研究结论
本研究揭露,在肺鳞状细胞癌(LUSC)中,非受体酪氨酸激酶ACK1通过一种此前未被认识的物理机制---液-液相分离(LLPS),来驱动其致癌功能。研究发现,ACK1在其天然无序区域(IDR1,尤其是143-156氨基酸片段) 的驱动下,能够在细胞质中形成动态的液态凝聚体,这一过程不依赖于其激酶活性。关键的是,这些凝聚体充当了一个信号枢纽,特异性招募适配蛋白NCK1和NCK2,从而将底物STAT5富集在ACK1周围,极大增强了ACK1对STAT5的磷酸化效率。激活的STAT5随后入核,启动促增殖和迁移的基因程序,最终加速LUSC的进展。该研究首次将ACK1的致癌活性与LLPS机制相关联,不仅深化了对癌蛋白信号时空调控的理解,更重要的是,揭示了靶向ACK1相分离过程或其凝聚体组成,可作为抑制STAT5信号和LUSC发展的全新治疗策略。
05 结果展示

图1 ACK1 在肺鳞状细胞癌(LUSC)中扩增且高表达

图2 ACK1 蛋白的液 - 液相分离(LLPS)不依赖其激酶活性

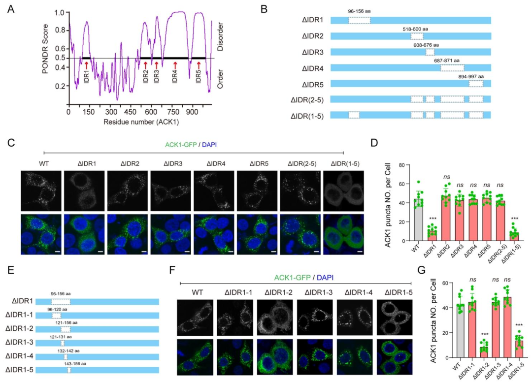
图3 ACK1 凝聚体形成的关键内在无序区域(IDR)

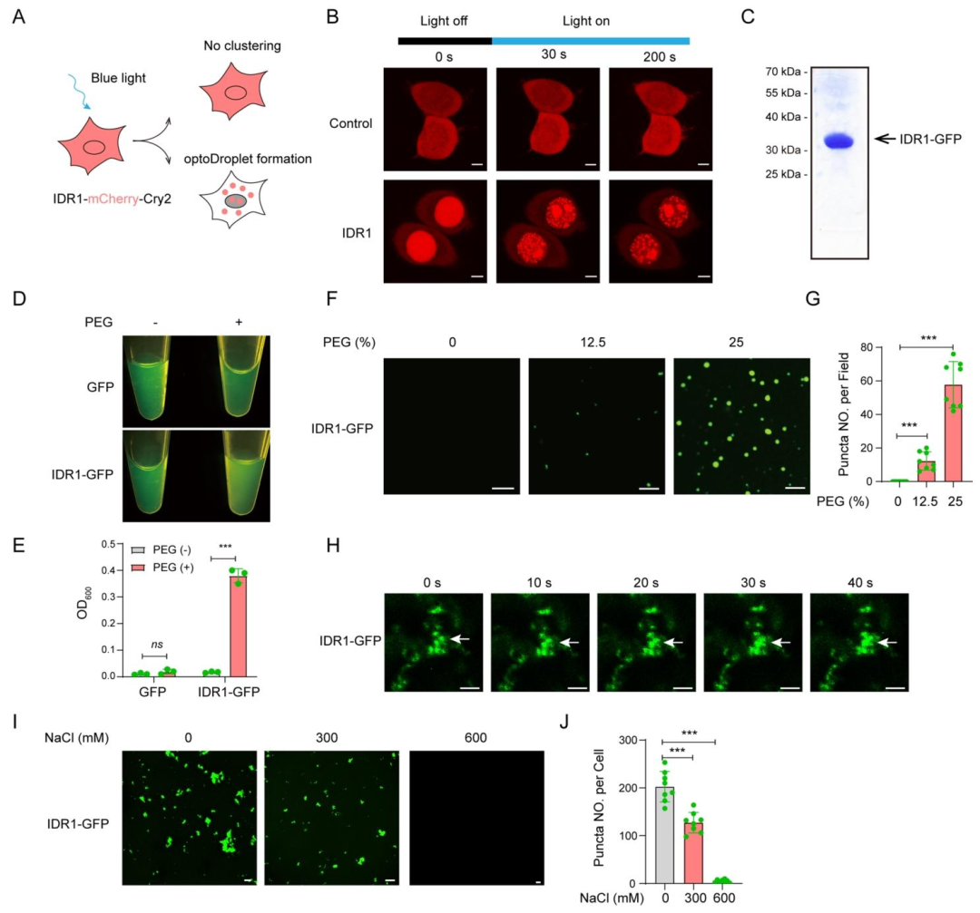
图4 IDR1 诱导液 - 液相分离(LLPS)

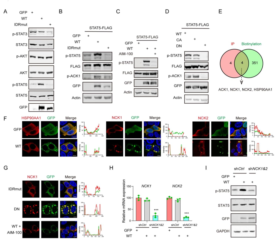
图5 ACK1 凝聚体招募 NCK1 和 NCK2 并促进 STAT5 信号传导

图6 ACK1 凝聚体促进 STAT5 转录活性、细胞增殖及迁移