3D Slicer新模型CADS-自动分割全身167个器官
之前我们分享过slicer版的TotalSegmentator,受到很多朋友的喜欢,今天,我们介绍一个新的模型CADS,它能分割 ts 未覆盖的部分器官与结构,两者结合可实现更完整的全身解剖分割。

CADS 简介
CADS(C omprehensive A natomical D ataset & Segmentation)是一个针对全身 CT(从头部到膝部)影像的开源自动分割框架。其核心特点与亮点如下:
-
覆盖丰富、结构全面
CADS 涵盖 167 个解剖结构,远超多数现有模型的覆盖范围。
-
大规模数据支撑
CADS 包含 22,022 例带完整标注的 CT 体数据集(CADS-dataset),数据来源覆盖 16 个国家、100 多个成像中心,具备很强的异质性和泛化能力。
-
自动化流程与质量控制
数据集构建过程中使用伪标注(pseudo-labeling)与无监督质量控制机制,以保证标注的完整性与一致性。
-
模块化模型设计
CADS 的模型套件可分任务运行,每个子模型对应一类结构(如脊椎、胸腹器官、头颈部结构等),用户可选择运行全部任务或按需运行部分任务。
-
便捷使用方式
- 提供
命令行 Python 脚本接口,用于批量推理。 - 还提供
3D Slicer 插件实现一键界面式调用,便于非编程背景用户使用。
- 提供
-
开源许可与模型权重
代码采用 Apache-2.0 许可开源;模型权重以 CC BY 4.0 许可发布。
-
验证与应用
CADS 在公开竞赛和真实医院数据中均展示了良好性能,适用于科研、辅助诊断、影像处理平台整合等场景
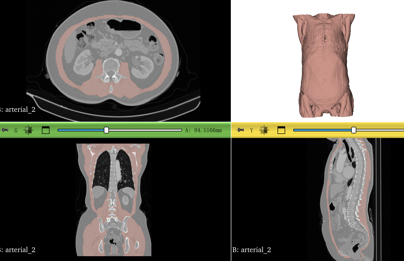
demo
- 分割胸腹部所有器官

- 核心器官分割

- 全脊柱分割

- 肠道分割

- 骨骼肌肉分割

- 肋骨分割

- 全身肌肉分割

- 头颈部结构

- 大脑组织

安装slicer版CADS
讲真的,这个CADS很难装,遇到了很多问题,改了部分代码才装上。做好心理准备。
1.下载最新版slicer
目前,只有slicer5.9可以安装这个插件,访问slicer 官网下载
2. 安装pytorch和nnUNet
- 在 Slicer 中打开Extension Manager→ 搜索PyTorch→ 点击Install。
安装后,Slicer 会要求您重新启动。重启后,进入PyTorch Utils模块。在输入Torch version requirement框中输入>=2.1.2,然后点击Install PyTorch。介于以下之间的任何 PyTorch 版本2.1.2和2.8.0(含)应该可以正常工作。
需要确保安装的pytorch可用,比如50系列卡通常需要手动安装torch

- 在 Slicer 中打开Extension Manager→ 搜索NNUNet→ 点击Install。
安装后,Slicer 会要求您重新启动。重启后,进入nnUNet模块。
在输入To install框中输入==2.5.2,然后点击Install。

3. 安装 CADSWholeBodyCTSeg
- 打开Extension Manager→ 搜索CADSWholeBodyCTSeg→ 点击Install-重启

注意:当你安装之后,第一次并不会出现我图片中的模型,而是需要加载图像,点击apply,这时候才会去安装一些需要的包,比如最重要的cads库。如果网路问题,可以选择手动下载
打开cmd,输入如下命令:
"D:/app/3D Slicer 5.9.0/bin/PythonSlicer.EXE" -m pip install D:/downloads/CADS-6e8373c593ab1d2db9454a45bd5b9d739eeab676
模型也可以手动下载放到如下地址:
D:\app\3D Slicer 5.9.0\lib\Python\Lib\site-packages\cads\model_weights
即便手动下载了,运行时如果仍然提示

我的解决办法是,直接修改源代码,让他禁止更新,需要修改的代码为:D:\app\3D Slicer 5.9.0\slicer.org\Extensions-33982\CADSWholeBodyCTSeg\lib\Slicer-5.9\qt-scripted-modules\CADSWholeBodyCTSeg.py
联系我,将修改后的代码发你。
如果进行到这里,顺利安装上了
CADS可以分割哪些器官
cads一共提供9个模型,ID(551-559).分别分割如下器官
-
任务 551:主要腹部器官、主要胸部器官(肺)和主要腹部脉管系统 脾脏、肾脏 R/L、胆囊、肝脏、胃、主动脉、下腔静脉、门静脉和脾静脉、胰腺、肾上腺 R/L、左肺上叶/下叶、右肺上叶/中叶/下叶。
-
任务 552:从颈椎到腰椎区域的完整单个椎骨, 椎骨 C1-C7、T1-T12、L1-L5。
-
任务 553:各种胸腹部器官、大脑、主要盆腔血管和面部 食道、气管、心肌、心房 R/L、心室 R/L、肺动脉、大脑、髂总动脉 R/L、髂总静脉 R/L、小肠、十二指肠、结肠、膀胱、面部。
-
任务 554:附肢骨架的主要骨骼、骶骨和相关的大肌肉群 肱骨 R/L、肩胛骨 R/L、锁骨 R/L、股骨 R/L、髋骨 R/L、骶骨、臀大肌/中肌/小肌 R/L、背部深层肌肉 R/L、髂腰肌 R/L。
-
任务 555:完成单根肋骨,包括左、右 肋骨 1-12 R/L。
-
任务 556:放射治疗的各种结构 脊椎管、喉头、心脏、结肠造口袋、乙状结肠、直肠、前列腺、精囊、乳腺 R/L、胸骨、腰大肌 R/L、腹直肌 R/L。
-
任务 557:大脑和头部组织 白质、灰质、脑脊液、头皮、眼球、密质骨、松质骨、血液、头部肌肉。
-
任务 558:头部和颈部结构 颈动脉 R/L、杓状软骨、下颌骨、脑干、颊粘膜、口腔、耳蜗 R/L、环咽肌、颈食管、眼球前/后节 R/L、泪腺 R/L、颌下腺 R/L、甲状腺、声门、声门上、双唇、视交叉、视神经 R/L、腮腺 R/L、脑垂体。
-
任务 559:一般组织类型、主要体腔、广泛的解剖类别 皮下组织、肌肉、腹腔、胸腔、骨骼、腺体结构、心包、假体乳房植入物、纵隔、脊髓。
以及每个模型器官对应的数字标签
模型 551
| 索引 | 解剖结构名称 |
|---|---|
| 0 | 背景 |
| 1 | 脾脏 |
| 2 | 右肾 |
| 3 | 左肾 |
| 4 | 胆囊 |
| 5 | 肝脏 |
| 6 | 胃 |
| 7 | 主动脉 |
| 8 | 下腔静脉 |
| 9 | 门静脉与脾静脉 |
| 10 | 胰腺 |
| 11 | 右肾上腺 |
| 12 | 左肾上腺 |
| 13 | 左肺上叶 |
| 14 | 左肺下叶 |
| 15 | 右肺上叶 |
| 16 | 右肺中叶 |
| 17 | 右肺下叶 |
模型 552
| 索引 | 解剖结构名称 |
|---|---|
| 0 | 背景 |
| 1 | 第五腰椎(L5) |
| 2 | 第四腰椎(L4) |
| 3 | 第三腰椎(L3) |
| 4 | 第二腰椎(L2) |
| 5 | 第一腰椎(L1) |
| 6 | 第十二胸椎(T12) |
| 7 | 第十一胸椎(T11) |
| 8 | 第十胸椎(T10) |
| 9 | 第九胸椎(T9) |
| 10 | 第八胸椎(T8) |
| 11 | 第七胸椎(T7) |
| 12 | 第六胸椎(T6) |
| 13 | 第五胸椎(T5) |
| 14 | 第四胸椎(T4) |
| 15 | 第三胸椎(T3) |
| 16 | 第二胸椎(T2) |
| 17 | 第一胸椎(T1) |
| 18 | 第七颈椎(C7) |
| 19 | 第六颈椎(C6) |
| 20 | 第五颈椎(C5) |
| 21 | 第四颈椎(C4) |
| 22 | 第三颈椎(C3) |
| 23 | 第二颈椎(C2) |
| 24 | 第一颈椎(C1) |
模型 553
| 索引 | 解剖结构名称 |
|---|---|
| 0 | 背景 |
| 1 | 食管 |
| 2 | 气管 |
| 3 | 心肌 |
| 4 | 左心房 |
| 5 | 左心室 |
| 6 | 右心房 |
| 7 | 右心室 |
| 8 | 肺动脉 |
| 9 | 大脑 |
| 10 | 左髂总动脉 |
| 11 | 右髂总动脉 |
| 12 | 左髂总静脉 |
| 13 | 右髂总静脉 |
| 14 | 小肠 |
| 15 | 十二指肠 |
| 16 | 结肠 |
| 17 | 膀胱 |
| 18 | 面部 |
模型 554
| 索引 | 解剖结构名称 |
|---|---|
| 0 | 背景 |
| 1 | 左肱骨 |
| 2 | 右肱骨 |
| 3 | 左肩胛骨 |
| 4 | 右肩胛骨 |
| 5 | 左锁骨 |
| 6 | 右锁骨 |
| 7 | 左股骨 |
| 8 | 右股骨 |
| 9 | 左髋关节 |
| 10 | 右髋关节 |
| 11 | 骶骨 |
| 12 | 左臀大肌 |
| 13 | 右臀大肌 |
| 14 | 左臀中肌 |
| 15 | 右臀中肌 |
| 16 | 左臀小肌 |
| 17 | 右臀小肌 |
| 18 | 左背深肌群 |
| 19 | 右背深肌群 |
| 20 | 左髂腰肌 |
| 21 | 右髂腰肌 |
模型 555
| 索引 | 解剖结构名称 |
|---|---|
| 0 | 背景 |
| 1 | 左第1肋骨 |
| 2 | 左第2肋骨 |
| 3 | 左第3肋骨 |
| 4 | 左第4肋骨 |
| 5 | 左第5肋骨 |
| 6 | 左第6肋骨 |
| 7 | 左第7肋骨 |
| 8 | 左第8肋骨 |
| 9 | 左第9肋骨 |
| 10 | 左第10肋骨 |
| 11 | 左第11肋骨 |
| 12 | 左第12肋骨 |
| 13 | 右第1肋骨 |
| 14 | 右第2肋骨 |
| 15 | 右第3肋骨 |
| 16 | 右第4肋骨 |
| 17 | 右第5肋骨 |
| 18 | 右第6肋骨 |
| 19 | 右第7肋骨 |
| 20 | 右第8肋骨 |
| 21 | 右第9肋骨 |
| 22 | 右第10肋骨 |
| 23 | 右第11肋骨 |
| 24 | 右第12肋骨 |
模型 556
| 索引 | 解剖结构名称 |
|---|---|
| 0 | 背景 |
| 1 | 脊髓管 |
| 2 | 喉部 |
| 3 | 心脏 |
| 4 | 结肠造口袋 |
| 5 | 乙状结肠 |
| 6 | 直肠 |
| 7 | 前列腺 |
| 8 | 精囊腺 |
| 9 | 左乳腺 |
| 10 | 右乳腺 |
| 11 | 胸骨 |
| 12 | 右腰大肌 |
| 13 | 左腰大肌 |
| 14 | 右腹直肌 |
| 15 | 左腹直肌 |
模型 557
| 索引 | 解剖结构名称 |
|---|---|
| 0 | 背景 |
| 1 | 白质 |
| 2 | 灰质 |
| 3 | 脑脊液 |
| 4 | 头皮 |
| 5 | 眼球 |
| 6 | 致密骨 |
| 7 | 松质骨 |
| 8 | 血液 |
| 9 | 头部肌肉 |
模型 558
| 索引 | 解剖结构名称 |
|---|---|
| 0 | 背景 |
| 1 | 左颈动脉 |
| 2 | 右颈动脉 |
| 3 | 杓状软骨 |
| 4 | 下颌骨 |
| 5 | 脑干 |
| 6 | 颊黏膜 |
| 7 | 口腔 |
| 8 | 左耳蜗 |
| 9 | 右耳蜗 |
| 10 | 环咽肌 |
| 11 | 颈段食管 |
| 12 | 左眼球前节 |
| 13 | 右眼球前节 |
| 14 | 左眼球后节 |
| 15 | 右眼球后节 |
| 16 | 左泪腺 |
| 17 | 右泪腺 |
| 18 | 左颌下腺 |
| 19 | 右颌下腺 |
| 20 | 甲状腺 |
| 21 | 声门 |
| 22 | 上声门 |
| 23 | 双唇 |
| 24 | 视交叉 |
| 25 | 左视神经 |
| 26 | 右视神经 |
| 27 | 左腮腺 |
| 28 | 右腮腺 |
| 29 | 垂体 |
模型 559
| 索引 | 解剖结构名称 |
|---|---|
| 0 | 背景 |
| 1 | 皮下组织 |
| 2 | 肌肉 |
| 3 | 腹腔 |
| 4 | 胸腔 |
| 5 | 骨骼 |
| 6 | 腺体结构 |
| 7 | 心包 |
| 8 | 乳房假体 |
| 9 | 纵隔 |
| 10 | 脊髓 |
文章持续更新,可以关注微公【Radiology AI Camp】获取最新动态。人手有限,文中涉及的链接前往微公对应文章查看。关注Tina姐,一起学习进步~
我是Tina, 我们下篇博客见~
白天工作晚上写文,呕心沥血
觉得写的不错的话最后,求点赞,评论,收藏。或者一键三连