肝内胆管癌(ICC)是一种仅次于肝细胞癌的第二大原发性肝脏恶性肿瘤,近年来发病率显著上升。由于早期症状隐匿且缺乏特异性生物标志物,多数患者确诊时已属晚期。肝内胆管癌预后极差,缺乏有效治疗靶点。传统疗法对晚期ICC效果有限。致癌转录因子ETV4虽被报道促癌,但其在ICC中受到何种翻译后修饰(PTMs)调控,以及如何精确影响下游通路(尤其是铁死亡)尚不清楚。
近日,哈尔滨医科大学附属第二医院张新晨教授团队在国际知名期刊《Cancer Letters》(IF=10.1)发表题为《ETV4 lysine 2-hydroxyisobutyrylation promotes intrahepatic cholangiocarcinoma progression by suppressing ferroptosis through TXNIP downregulation》的研究论文。该研究首次揭示转录因子ETV4在97位赖氨酸发生2-羟基异丁酰化修饰,并发现在ICC中,ETV4 K97-Khib受KAT2A/HDAC1动态调控,并通过双重机制抑制TXNIP介导的铁死亡:一方面,ETV4 K97-Khib直接抑制TXNIP的转录表达;另一方面,ETV4 K97-Khib上调ZBED1表达,促进ZBED1介导的TXNIP SUMO化修饰及其降解。上述转录抑制与翻译后降解机制协同作用,抑制铁死亡,从而促进肝内胆管癌的增殖、转移和恶性进展,并提示其可作为潜在治疗靶点。爱基百客为该研究提供CUT&Tag和RNA-seq的技术支持。

研究方法
RNA-seq、CUT&Tag、ChIP-qPCR、双荧光素酶、质谱、Co-IP/MS等
- 关键实验:
① 质谱鉴定ETV4 K97-Khib位点
② CUT&Tag + RNA-seq联合分析下游靶基因
③ Co-IP/MS寻找调控酶(HDAC1/KAT2A)
④ 分子对接虚拟筛选药物。
- 研究逻辑:临床样本发现->修饰位点鉴定->体内外功能验证->上下游机制探索->治疗潜力挖掘。
研究结果
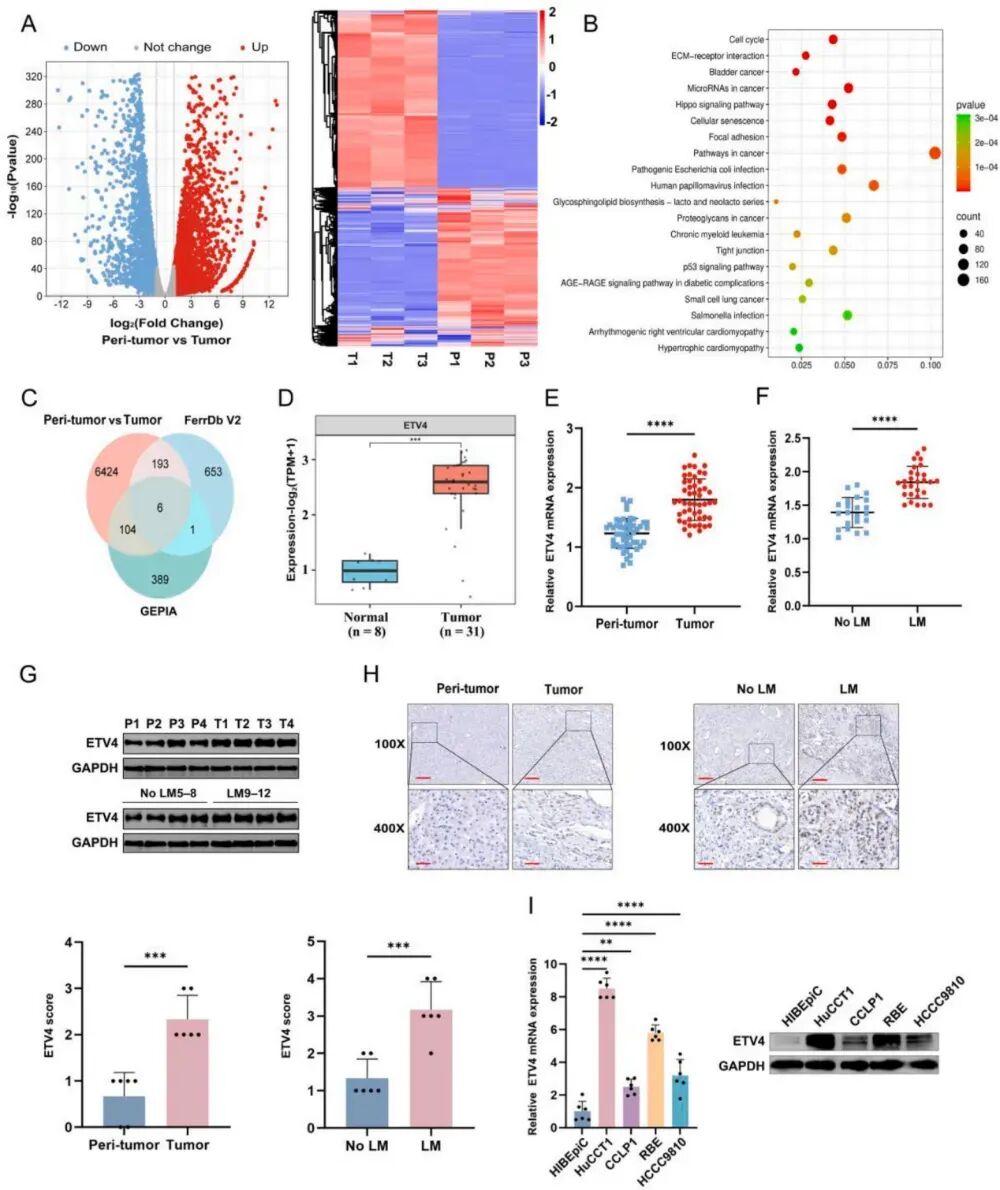
1. ETV4过表达与ICC中铁死亡相关特征之间的关联
研究先做了3对ICC组织与癌旁组织的RNA-seq,筛选差异表达基因。结果显示ICC和癌旁组织之间存在大量显著失调基因;上调基因富集在多种肿瘤相关通路中,提示这些基因可能参与细胞增殖、凋亡调控、肿瘤发生发展。
为进一步寻找ICC中的铁死亡关键调控因子,研究把三类信息做了交叉整合,包括RNA-seq筛选到的显著差异基因,FerrDb V2中已知的铁死亡相关基因,GEPIA数据库中的预后相关基因。最终筛出6个候选分子:SCP2、PANX2、NCOA4、ETV4、JUN和ALOX5。随后在TCGA数据、50对临床样本、qRT-PCR、WB、IHC和IF中验证发现:ETV4在ICC中显著高表达,转移性ICC中ETV4表达更高,ETV4主要定位于表达CK19肿瘤上皮细胞核内。这些结果表明,ETV4不仅是ICC的潜在侵袭性标志物,也可能是连接铁死亡与肿瘤转移的重要调控节点。

图1:ETV4在ICC中的上调及其与不良预后的关联。
2. ETV4 Khib及其与临床病理特征的关联
新发现的PTM包括Kla、Kpr、Kbhb、Kcr、Kmal、Khib等,与ETV4的功能关系尚不明确。研究团队进一步解析了ICC中ETV4的翻译后修饰谱。Co-IP与MS/MS显示,ETV4存在多种赖氨酸修饰,其中Khib最显著,且K97是唯一被确认的Khib位点。K97周围序列高度保守,提示其功能重要。研究进一步构建并验证了ETV4 K97-Khib特异性抗体。免疫荧光结果显示ETV4与K97-Khib信号在ICC细胞核内强烈共定位,这表明K97-Khib可能参与调控转录因子ETV4对其下游基因的转录功能。
为验证ETV4 K97-Khib在ICC中的临床相关性,研究评估了其在患者组织中的表达情况。western blot结果发现该修饰在ICC组织、尤其是伴淋巴结转移的样本中显著升高,且K97-Khib/ETV4比值增加更明显。生存分析和临床相关性分析显示高ETV4 Khib与更差OS(overall survival,总生存期)/DFS(disease-free survival,无病生存期)、淋巴结转移和晚期病理分期密切相关,提示ETV4 K97-Khib可能是ICC的功能性致癌修饰、预后标志物及潜在治疗靶点。

图2:ETV4 Khib与临床病理参数的相关性。
3. ETV4 Khib介导的铁死亡抑制与ICC细胞增殖及肿瘤生长促进作用
为研究ETV4和ETV4 Khib在ICC肿瘤进展及铁死亡中的作用,研究团队构建了三套关键模型:CCLP1细胞中过表达ETV4,HuCCT1细胞中敲除ETV4,在ETV4缺失的HuCCT1中分别回补ETV4 WT和K97R突变体(模拟Khib缺失的情况)。研究选用多种细胞死亡抑制剂做筛选,结果只有铁死亡抑制剂能逆转ETV4敲除导致的细胞死亡增加,这表明ETV4主要通过调节铁死亡来调控ICC细胞的存活。
为确认ETV4 Khib在铁死亡中的作用,研究分别用铁死亡诱导剂抑制剂处理ETV4基因敲除的HuCCT1细胞和ETV4 Khib过表达的HuCCT1细胞,结果显示ETV4敲除会导致细胞增殖下降,对铁死亡更敏感;ETV4 Khib过表达会导致细胞存活率升高,对铁死亡更耐受,而且这种效应具有时间依赖性和剂量依赖性。研究还通过western blot检测了经典铁死亡相关蛋白,结果表明K97-Khib是ETV4调控铁死亡分子网络的重要基础。水动力法构建癌基因诱导小鼠肝内胆管癌模型和肝特异性cKO模型进一步证实,ETV4 K97-Khib促进ICC细胞增殖并赋予铁死亡抗性,提示其为潜在治疗靶点。

图3:ETV4 Khib在ICC细胞增殖及铁死亡抵抗中的功能作用。
4. ETV4 Khib在体外和体内增强ICC迁移、侵袭及转移的能力
功能研究进一步表明,ETV4及其K97-Khib修饰显著增强ICC的迁移、侵袭和远处转移能力。伤口愈合和Transwell实验显示,ETV4敲除抑制HuCCT1细胞迁移/侵袭,而ETV4过表达则在CCLP1中明显增强这些表型。更重要的是,在ETV4缺失背景下,ETV4 WT比K97R更能恢复迁移和侵袭能力,且在Erastin诱导铁死亡条件下这一差异仍然存在。肺、肝和腹膜转移模型进一步证实,ETV4 K97-Khib是驱动ICC转移潜能的重要功能修饰,提示其可能成为抑制ICC侵袭转移的潜在治疗靶点。

图4:ETV4 Khib在体外和体内促进ICC细胞迁移、侵袭及转移的功能作用。
5. HDAC1和KAT2A是调控ETV4 Khib的关键酶
为更好地理解ETV4 K97-Khib修饰在ICC中的动态调控机制,研究对负责该修饰的上游调控酶进行了系统性研究。在HuCCT1细胞中对ETV4做了IP-MS,寻找与ETV4结合的潜在去酰化酶和酰基转移酶。结合Co-IP、过表达/敲低、IF共定位及分子对接分析等技术,最终确定HDAC1是ETV4 K97-Khib的关键去酰化酶,KAT2A是其主要酰基转移酶。

图5:HDAC1和KAT2A对ETV4 Khib的调控作用。
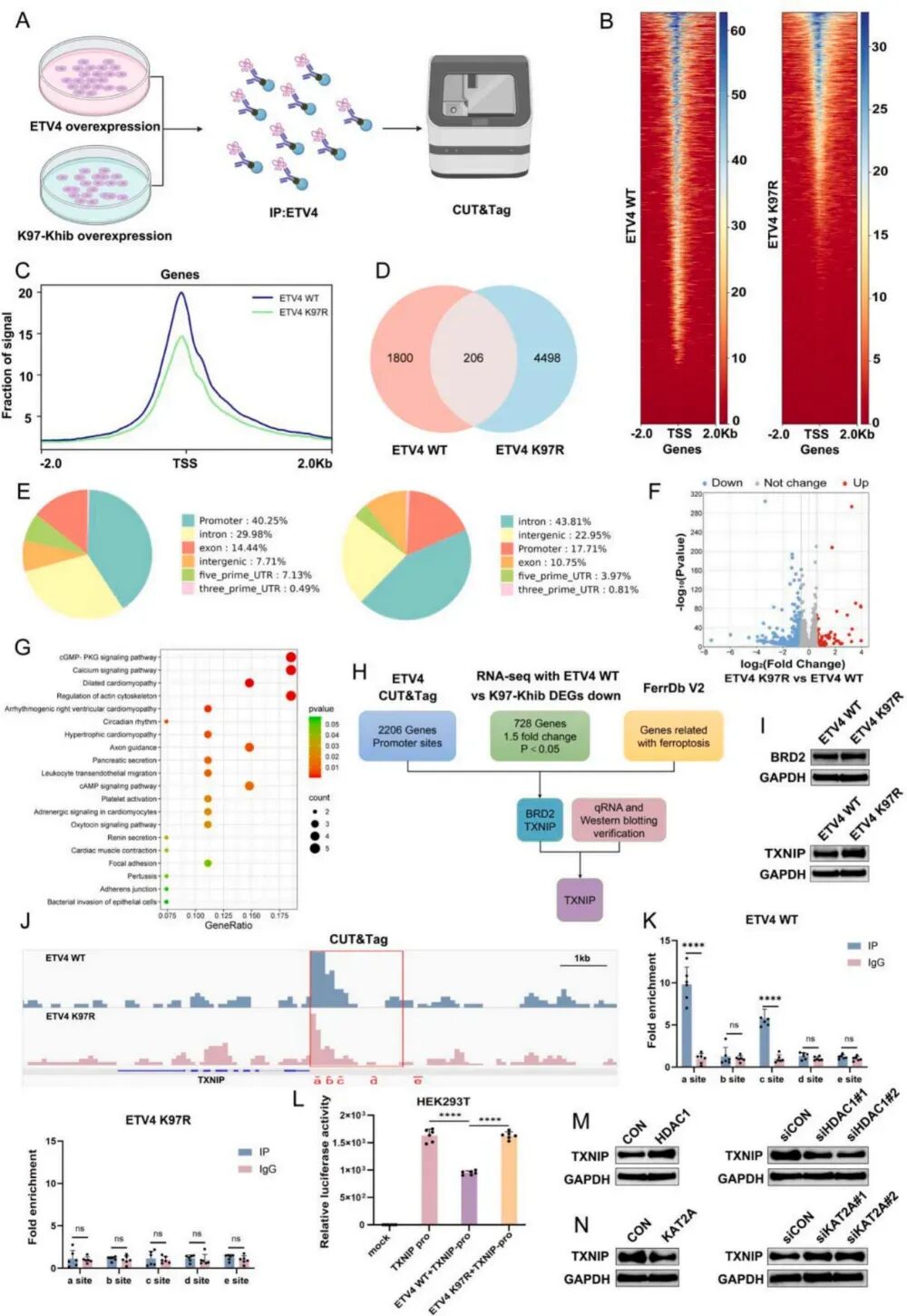
6. 通过CUT&Tag分析对ETV4 Khib靶标的全基因组特征分析
前面确定了ETV4的K97-Khib功能和上游调控蛋白,随后研究团队通过使用ETV4敲除的HuCCT1细胞,分别回补ETV4野生型(WT)或K97R突变体,来探究ETV4 Khib对下游靶基因的调控作用。研究进行了全基因组CUT&Tag分析,以评估ETV4在这些细胞中的全局结合谱。结果显示Khib显著影响ETV4的DNA结合能力,ETV4 WT在TSS和基因邻近区域的结合信号显著高于K97R,WT与K97R细胞之间的ETV4结合peak数量存在显著差异,WT的peak更倾向于分布在启动子区域,而K97R的peak更偏向内含子区域。这些意味着Khib对ETV4基因的转录具有关键调控作用。
研究进一步比较WT vs K97R的RNA-seq差异基因,并与CUT&Tag的ETV4靶基因和FerrDb V2的铁死亡基因集进行整合。最终候选分候选铁死亡相关的靶基因有:TXNIP和BRD2。后续qRT-PCR和WB验证发现TXNIP的表达水平在WT组显著低于K97R组,BRD2没有明显差异。因此,最终锁定TXNIP是ETV4 Khib的关键下游靶基因。
研究团队从CUT&Tag数据中定位到TXNIP启动子上的潜在ETV4结合位点,并用ChIP-qPCR验证(a、b、c、d、e多组引物)。结果显示在WT组,ETV4在TXNIP启动子的a、c位点显著富集;在K97R组,这种富集消失。进一步的双荧光素酶实验表明ETV4 WT能显著抑制TXNIP启动子活性,K97R的抑制作用明显减弱。这表明ETV4 Khib介导了TXNIP的转录抑制。
研究进一步检测了上游酶对TXNIP的影响,分别将HDAC1或KAT2A过表达或敲除。结果显示HDAC1和KAT2A精确调控ETV4 Khib,负向调控铁死亡调控因子TXNIP的表达。综合CUT&Tag与RNA-seq联合分析结果,ETV4 Khib在转录水平上抑制TXNIP表达,从而可能抑制铁死亡,促进ICC细胞增殖及恶性进展。

图6:通过CUT&Tag分析技术鉴定ETV4 Khib的靶基因。
7. ETV4 Khib/TXNIP轴在铁死亡抑制及ICC转移进展中的机制作用
一系列体外和体内实验进一步表明,TXNIP是ETV4 K97-Khib发挥促恶性作用的重要下游靶点。与K97R相比,ETV4 WT在HuCCT1细胞中显著增强迁移和侵袭能力,并在肺转移模型中形成更多转移灶,而TXNIP过表达可明显削弱这一表型。机制上,ETV4 WT诱导更明显的上皮间质转化(EMT)特征,同时上调GPX4/SLC7A11、下调ACSL4,并降低Fe2+、MDA和ROS、提高GSH水平,表现出更强的抗铁死亡能力。恢复TXNIP后,这些变化被部分逆转。整体来看,ETV4 K97-Khib通过抑制TXNIP,将铁死亡抵抗能力与转移能力连接起来,推动ICC恶性进展,也提示ETV4 Khib/TXNIP轴可能成为潜在干预靶点。

图7:ETV4 Khib/TXNIP轴通过铁死亡依赖性机制调控ICC转移。
8. ETV4 Khib对ZBED1介导的SUMO化修饰及TXNIP去稳定化的调控作用
机制研究进一步揭示,ETV4 K97-Khib可通过引入SUMO化修饰调控层,进一步放大其促癌效应。RNA-seq显示,ETV4 WT相比K97R显著富集SUMO化修饰相关通路,其中ZBED1明显上调;尽管CUT&Tag和ChIP-qPCR不支持ETV4直接结合ZBED1启动子,但功能实验表明,ZBED1过表达可在不改变TXNIP mRNA的情况下显著降低其蛋白水平。观察到的TXNIP mRNA水平与蛋白质水平之间的差异表明TXNIP可能经历了翻译后修饰。
进一步Co-IP证实,TXNIP主要发生SUMO1介导的SUMO化修饰,且该过程受Ubc9和ZBED1促进;ETV4 WT还能增强ZBED1--TXNIP相互作用。位点突变显示K316是TXNIP的主要SUMO化修饰位点,SIM1(与SUMO相互作用的基序)对该修饰同样必需。机制上,ZBED1促进TXNIP SUMO化修饰并通过蛋白酶体途径降低其稳定性,最终增强EMT和铁死亡抗性。整体上,研究建立了ETV4 Khib/ZBED1/TXNIP新机制轴,为ICC进展提供了更完整的PTM串扰解释。

图8:在ETV4 Khib调控下,ZBED1介导的SUMO化修饰导致TXNIP稳定性降低。
9. 硫链丝菌素通过作用于ETV4 Khib抑制ICC进展
为评估靶向ETV4 K97-Khib的治疗潜力,研究基于ETV4 K97周围结合口袋开展结构虚拟筛选,并从临床/FDA批准药物库中筛得候选分子TST(硫链丝菌素)。分子对接显示,TST的前5个高分结合构象均与K97残基形成稳定氢键,提示其对该位点具有较强的结构特异性;SPR与MST进一步证实了TST与ETV4的直接物理结合。功能实验表明,TST可显著降低ICC细胞中ETV4及ETV4 K97-Khib水平,并提高TXNIP表达;该效应在ETV4 WT细胞中明显,而在K97R回补细胞中显著减弱,表明TST主要通过作用于ETV4 K97-Khib轴发挥功能。进一步地,TST在体内外均表现出显著的抗迁移、抗侵袭和抗转移作用,并在小鼠模型中显示出较好的安全性。综上,该研究提示TST是一个具有潜力的ETV4 Khib靶向候选分子,为ICC基于铁死亡疗法治疗提供了新的依据。

图9:TST对ETV4 Khib介导的ICC进展的抑制作用。
总 结
纵观这项研究,研究团队为我们展示了一个极其惊艳的"从机制探究到临床转化"的科研闭环。研究不仅清晰构建了"KAT2A/HDAC1---ETV4 K97-Khib---TXNIP"这一调控铁死亡的全新机制轴,更巧妙地揭示了Khib与SUMOylation之间的PTM串扰(Crosstalk)。对于广大科研工作者而言,这篇文章提供了极佳的课题设计思路,当我们发现一个新的表观遗传或翻译后修饰靶点时,如果能向下深挖不同修饰间的协同作用,并向上延展至基于结构的特异性药物筛选,将极大地提升研究的临床转化价值与文章的整体格局。

图10:ETV4 Khib抑制ICC恶性行为的机制。
爱基百客深耕科研服领域10+年,提供领先的表观组学、单细胞时空组学和NGS测序。我们在国内较早开始提供表观技术服务,在CUT&Tag、ChIP-seq、ATAC-seq等技术领域积累相当丰富的经验,有相关技术需求欢迎咨询~
目前表观产品CUT&Tag、ChIP-seq、ATAC-seq正在做春季大促的活动,有需求不要错过了~
CUT&Tag部分客户文章
