转眼来到2025年12月,自动驾驶出租车已经开上街头,人们也从在网上搜索答案变成了日常与AI聊天。这些变化清楚地表明,人工智能(AI)正以前所未有的速度发展,并逐渐融入日常生活。
举个例子,计算机视觉技术就是其中一个进展惊人的领域。它也被称为视觉AI,是人工智能的一个分支,主要致力于让机器理解和分析视觉数据。
计算机视觉已经无处不在,从超市的自动收银通道,到巡查电力线的无人机,背后都有它的身影。而许多这类系统的核心,就是目标检测------一项关键的计算机视觉任务,让机器能够识别并定位图像和视频中的特定物体。
随着AI应用的加速普及,市场对快速且精准的目标检测需求也在激增。像YOLO11以及即将发布的YOLO26这样的视觉AI模型,正是为此而生,它们让实时目标检测变得比以往更可靠、更易用。

在这一快速发展的进程中,整个领域也在迅速演变,一些新兴趋势正在塑造下一代目标检测技术的面貌。在本文中,我们将探讨定义目标检测未来的七个关键趋势。
了解目标检测的工作原理
在深入探讨未来趋势之前,让我们先退一步,看看什么是目标检测,它的幕后原理是什么,以及这些年来它是如何发展的。
目标检测是计算机视觉的关键部分,它使得AI系统能够识别图像内容并精确确定每个物体的位置。为了学会这一点,模型需要在大量标注过的数据集上进行训练,这些数据集展现了物体在各种不同条件下的样貌,比如不同的角度、光线、大小和布局。
随着时间的推移,模型会学会区分不同物体的模式和视觉线索。一旦训练完成,像Ultralytics YOLO这样的视觉AI模型可以一次性扫描整个图像,即时绘制出边界框并分配标签。这种速度和准确性,正是目标检测能够在众多实际应用中产生巨大影响的原因。

目标检测的实际应用案例
例如,在文档分析领域,像Prezent这样的公司就利用目标检测技术,来自动化重新设计演示文稿幻灯片这项颇具挑战性的任务。传统上,这个过程需要数小时的人工调整:识别标题、重新定位文本框、对齐图像、重建图表,同时还要尽力保持版面的整洁与统一。
通过将每张幻灯片转换为图像,YOLO模型可以检测出标题、文本框、图片和图表,同时保留原始结构。这使得系统能够准确理解每个元素是如何排列的。有了这些信息,曾经缓慢而繁琐的整个重新设计过程,现在只需几秒钟就能自动完成。
计算机视觉中目标检测的演变历程
以下是目标检测技术多年来发展历程的简要回顾:
- 早期阶段(1960年代-1970年代): 早期的目标检测方法源自传统的图像处理,通常依赖于模板匹配。这种方法将图像的各个部分(像素)与预定义的参考模式(即模板)进行比较以寻找相似性。由于这些模板是固定的,无法适应变化,因此该方法只在理想条件下有效。即使是光照、尺度、旋转或物体外观的微小变化,都可能导致失败。
- 基于特征的检测(1990年代-2000年代): 随后,研究人员转向了手工特征和特征提取的思路,即人为定义计算机应该寻找的视觉线索,例如边缘、角点、形状或亮度的变化。Haar级联(一种扫描简单视觉模式的方法,常用于人脸检测)和方向梯度直方图(一种捕捉图像中边缘和轮廓方向的技术)等技术,通常与支持向量机分类器(一种将物体分类的机器学习模型)结合使用,使目标识别更准确、更快速。尽管有这些改进,这些系统仍然难以达到实时运行的速度。
- 深度学习模型革命(2010年代): 深度学习和卷积神经网络(CNN,一种通过逐小区域扫描图像来学习视觉模式的模型)重新定义了目标检测。像R-CNN、Fast R-CNN和Faster R-CNN这样的模型直接从海量数据中学习视觉模式。这带来了高精度的输出,但这些模型仍然面临延迟问题。
- YOLO实现实时检测(2010年代中期): YOLO(你只看一次)标志着目标检测的重大突破,它通过网络的一次前向传播就预测出所有边界框和类别标签。这种统一的方法极大地提高了检测速度,为实时应用铺平了道路。大约在同一时期,像SSD(单发多框检测器)这样的其他单次检测模型也通过移除区域提议步骤,提升了性能,使目标检测更快、更高效。
- 近期进展(2020年代): 得益于模型设计和优化的重大改进,2020年代带来了更快、更准确的最先进目标检测系统和框架。 YOLO11引入了架构升级,提高了处理速度、准确性和整体实时性能。在此基础上,即将推出的YOLO26采用了更高效、更轻量化的设计,使其非常适合广泛的实际应用。
塑造未来的7大目标检测趋势
接下来,让我们探讨七个新兴的目标检测趋势,这些趋势正在计算机视觉领域引发关注和热议。
- 借助边缘计算,实现更智能的目标检测任务
传统的人工检查可能会拖慢生产线速度,并容易漏检缺陷。为了应对这一问题,许多公司开始转向由目标检测技术驱动的AI质量控制系统。
事实上,研究表明,与人工检测相比,基于AI的视觉检测可以显著提高生产率(有时甚至高达50%),并将缺陷检测率提升多达90%。有趣的是,在这一领域及其他视觉AI应用中,正在掀起新浪潮的趋势是:通过边缘计算,分析现在直接在设备本身上进行。
借助边缘计算,智能被移到离数据采集点更近的地方。摄像头和传感器可以现场运行目标检测模型,即时识别物体并确定其位置,而无需依赖云端处理。这使得它们能够实时分析图像帧。
这还减少了网络延迟,降低了带宽使用,并确保了即使在网络连接不稳定或不可用时,系统也能持续工作。对于制造业等快节奏环境而言,转向设备端处理能带来更快的响应、更流畅的操作和更可靠的结果。
在制造业质检中,AI能极大提升效率。而实现这一点的关键,在于将模型高效部署到边缘设备。Coovally平台提供的一站式模型转换与部署服务,正简化了这一过程,帮助企业将训练好的检测模型快速转化为可在边缘设备上运行的形式,从而实现实时、本地的质量判定。
- 医疗保健领域的视觉辅助诊断
医生们常常花费大量时间查看医学影像,以确保不会遗漏任何信息。如今,许多医院开始探索尖端的目标检测技术来帮助加快这一过程。这反映了医疗保健领域的一个更广泛趋势:视觉AI正越来越多地用于支持早期检测、快速诊断和更一致的影像分析。
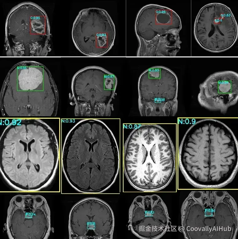
目标检测可用于快速突显可能需要关注的区域,从而辅助决策并改善患者治疗效果。例如,像YOLO11这样的模型可以帮助医生在MRI扫描中发现脑肿瘤。

由于YOLO11能够识别MRI扫描中的细微模式,它可以帮助更准确地发现小型或早期肿瘤。虽然医生做出最终诊断,但像YOLO11这样的工具可以通过更早地提示潜在问题来帮助简化他们的审阅工作,确保重要的信息不被遗漏。
- 自动驾驶汽车与实时视觉,助力更安全的出行
在繁忙的城市街道上,自动驾驶汽车依赖摄像头和传感器持续监控周围环境。这些系统实时检测行人、车辆、车道和路标。借助计算机视觉和目标检测算法,自动驾驶汽车能够解读周围发生的情况,并做出更安全的自动驾驶决策。
在交通模式多样、车辆混合行驶的地区,这些系统会面临额外的复杂性。例如,最近一项研究评估了Ultralytics YOLOv8模型在海得拉巴和班加罗尔收集的交通数据上的表现。在这些地方,汽车、公共汽车、摩托车、自行车和自动人力车等各种车辆以动态且常常难以预测的方式共享道路。
结果显示,YOLOv8在这些充满挑战的场景中表现强劲,即使在密集和非结构化的交通条件下,也能准确检测出各种物体。这凸显了自动驾驶领域的一个日益增长的趋势:视觉AI模型正变得越来越有能力处理曾经对自动化系统构成重大挑战的复杂现实环境。
- 利用计算机视觉实现智能自动化与机器人技术
处理小物件、分拣检测到的物品和材料,或在杂乱空间中导航,对机器人来说一直是个挑战。这些任务需要快速适应和精确移动,而传统的自动化系统在不可预测的环境中往往难以应对。
机器人技术的一个增长趋势是利用视觉AI赋予机器人实时感知和响应周围环境的能力。为了探索这一转变,一组研究人员最近开发了一款家用机器人,它能够在室内移动时识别和分拣物体。
该机器人使用了像YOLO11这样的模型进行目标检测,结合深度摄像头和灵活的夹爪,能够自主识别不同形状和大小的物品,并将其放置到正确的位置。这个实验展示了如何将计算机视觉与机器人系统结合,以提升空间感知和响应能力。

它还展示了尖端的AI技术如何通过随时间学习视觉模式,帮助机器人适应陌生环境。随着这些进步,机器人正变得越来越能干,并更多地融入日常任务中,从家庭辅助到仓库物流和医疗支持。
让机器人学会"看"和"决策",离不开目标检测模型的快速迭代。在这个过程中,高效的数据处理和分析工具至关重要。例如,在训练机器人识别抓取物时,Coovally提供的工具集可以帮助开发者生成数据分布报告、可视化标签效果,甚至进行数据增强和标签归一化,这些都能有效提升模型训练的数据质量与效率。
- 主动式监控与安防系统
智能监控系统正在迅速采用人工智能来识别异常或不安全的活动。借助目标检测模型,摄像头可以实时识别潜在问题并立即提醒安防团队,从而有助于改善预防和响应。
例如,在出于安全原因限制使用智能手机的制造工厂中,AI系统可以利用YOLO和其他视觉模型,在手机出现的瞬间自动检测到它们并跟踪其移动。这反映了安防领域一个更广泛的趋势:视觉AI正被用于更主动地监控环境,并对潜在风险做出更快反应。
除了检测,这些系统正日益与其他技术结合,以创建更完整的安防解决方案。边缘设备允许在本地处理视频,减少延迟并保持性能可靠;而像门禁控制系统或面部识别这样的工具则可以增加额外的验证层。这些技术共同协作,创建出更智能、连接更紧密的监控网络,能够快速有效地应对现实情况。
- 增强现实与日常生活中的目标检测
在繁忙的仓库和大型零售场所,工作人员经常需要同时处理多项任务。增强现实通过将数字指引直接叠加到现实世界中来提供帮助。当与目标检测结合时,AR系统可以识别物品、追踪其位置,并实时显示有用信息。这使得日常任务对使用者来说更轻松、更快速、更直观。
该领域的一个增长趋势是使用视觉AI将日常设备转变为能够理解周围环境的智能助手。随着AR和目标检测的不断融合,工作场所正开始采用沉浸式工具来支持免手动指引和更高效的工作流程。
一个很好的例子是亚马逊正在开发和测试的AI增强现实眼镜。这些眼镜利用目标检测和图像分类来识别包裹、引导工人沿正确路线行进并记录送达证明。这创造了一种更安全、解放双手的体验,帮助工人在全天工作中保持专注和高效。
- 物联网驱动的智能设备,构建实时视觉系统
智能设备已演变成能够观察、理解并对周围环境做出反应的智能系统。物联网通过将摄像头、传感器、机器和智能应用连接成能够收集并对数据进行实时处理的网络,推动了这一转变。
当物联网与目标检测和边缘计算协同工作时,设备可以解读视觉信息、发现异常并即时做出响应,无需人工干预。这创造了自适应且高效的系统,为智能家居、工业和整个智慧城市提供动力。
例如,最近的一项研究表明,一个基于物联网的野生动物保护系统如何使用YOLOv8来检测接近农田的动物。一旦检测到,该系统会利用AI驱动的决策来触发灯光或声音等温和的威慑手段,安全地将动物引开。这有助于防止农作物受损,同时支持与当地野生动物的和平共处,展示了物联网和计算机视觉如何使农业更具可持续性。
Coovally 提供了开箱即用的模型仓库、统一的评估基准以及云端算力支持,让开发者能快速实验并找到最适合其应用场景的解决方案,极大降低了先进计算机视觉技术的应用门槛。

当让如果你是技术小白,需要AI算法 ,或是需要AI解决方案的朋友,可以扫描二维码,我们来给你提供解决方案!!

点击阅读原文,即可体验Coovally平台!
其他值得关注的视觉AI趋势
除了这七大目标检测趋势,以下还有一些正在塑造视觉AI未来的重要发展:
- 自监督学习研究: 新的深度学习方法让模型能够从大量未标注的图像集中学习有用的视觉特征,帮助目标检测系统在不过度依赖人工标注的情况下得到改进。
- 基于Transformer的目标检测兴起: Transformer正变得越来越普遍,因为它们能捕捉图像内的长距离关联,赋予模型更好的上下文理解能力,从而提高检测精度。
- 集成激光雷达以获取更丰富的3D感知: 将激光雷达与基于摄像头的目标检测结合,可提供精确的深度信息,从而加强用于导航、机器人技术和自动驾驶等应用的3D感知能力。
总结
目标检测早已超越了基本的图像识别,如今被用于驱动能够在实时决策的智能系统。展望未来,新一代的模型可能会实现更高的准确度和更深度的上下文理解,使视觉AI在各个行业中变得更加可靠和多功能。随着这些技术的不断进步,它们将塑造出新一代更智能、适应性更强的计算机视觉系统。