2026.1.21
本研究提出IGUANe,一个基于CycleGAN扩展的3D模型,通过多对一架构实现MRI图像在多中心数据间的泛化协调,有效处理未见扫描仪数据,并在保持生物信息的同时,显著提升了脑龄预测、AD分类及灰质萎缩模式的识别准确性。
Title 题目
01
IGUANe: A 3D generalizable CycleGAN for multicenter harmonization of brain MR images
IGUANe:一种用于脑部MRI多中心协调的3D通用CycleGAN模型
文献速递介绍
02
随着多中心MRI数据的普及,样本量增大,统计效力增强,但也引入了制造商、场强、序列设计等技术异质性,影响统计分析和机器学习模型泛化能力。现有回顾性协调方法分为三类:统计/机器学习方法(特征级别),标准化方法(强度级别),以及基于深度学习的像素级处理。前两类有局限性,例如需要为每组特征单独处理或未能捕捉复杂模式。深度学习方法中的图像到图像转换(IIT)模型虽有效,但仍存在潜在生物信息丢失、缺乏外部数据集验证、计算资源要求高及2D切片独立处理等问题。为解决这些限制,本文提出IGUANe,一个无监督的IIT模型,基于CycleGAN的多对一策略,能协调来自任意未见站点的MR图像,同时避免生物信息丢失。其3D架构处理整个脑部体积,并且计算需求不高,代码已公开。研究通过评估图像相似性指标、生物学模式的保留和增强以及预测任务的准确性来验证和比较IGUANe与其他方法。
Aastract摘要
02
在MRI研究中,整合来自多个采集点的数据可以增加样本量,但也可能引入与采集点相关的变异性,从而影响后续分析的一致性。深度学习的图像转换方法已成为解决MR图像跨站点协调的方案。本研究提出IGUANe(Image Generation with Unified Adversarial Networks),一个原创的3D模型,它结合了领域转换和风格迁移方法的优势,用于多中心脑部MR图像的协调。IGUANe通过多对一架构扩展了CycleGAN,允许在训练中集成任意数量的领域。基于领域对的框架实现了采样策略,以防止站点相关变异与生物学变异之间的混淆。在推理阶段,该模型可应用于任何图像,甚至是来自未知采集站点的图像,使其成为一个通用的协调生成器。IGUANe使用来自11种不同扫描仪的T1加权图像数据集进行训练,并在未见过的站点数据上进行评估。评估包括使用旅行受试者对MR图像的转换、领域内MR图像对间距离的保留、与年龄和阿尔茨海默病(AD)相关的体积模式的演变,以及在年龄回归和患者分类任务中的表现。与其他协调和标准化方法的比较表明,IGUANe能更好地保留MR图像中的个体信息,并更适合维持和强化与年龄和AD相关的变异性。未来的研究可能会在使用相同模型或针对不同图像模态重新训练的情况下,进一步评估IGUANe在其他多中心背景下的应用。
Method 方法
03
IGUANe模型基于CycleGAN进行扩展,采用多对一架构,一个通用前向生成器(GenFwd)将所有源站点图像转换为参考站点图像,并有N个后向生成器(GenBwd_i)将参考站点图像转换回各源站点。为对抗性训练,设置了N个前向鉴别器和N个后向鉴别器。数据预处理包括颅骨剥离、偏置校正、线性配准到MNI空间、裁剪和强度标准化。通用生成器训练GenFwd将任何源站点的图像转换到参考站点(SALD),使其能够泛化到未见过的采集站点。通过N个前向鉴别器以及基于年龄的采样策略,防止技术变异与生物学变异混淆。训练过程使用均方误差作为对抗损失,结合循环一致性损失和身份损失来保留原始图像信息并规范生成器训练。网络架构采用Dewey等人提出的架构,使用3D卷积和残差学习以保护解剖细节;鉴别器使用PatchGAN架构与3D卷积。特别处理背景强度并应用脑部掩膜以引导生成器专注于脑部强度。评估方法包括在旅行受试者数据集上评估图像相似性(SSIM和主体间距离);在泛化数据集上评估灰质体积与年龄相关性;在临床数据集上评估海马体积的病例/对照效应量;在泛化和临床数据集上评估脑龄预测和CN/AD分类任务的表现。与直方图匹配(HM)、WhiteStripe(WS)及STGAN、CALAMITI等参考方法进行比较。
Discussion讨论
04
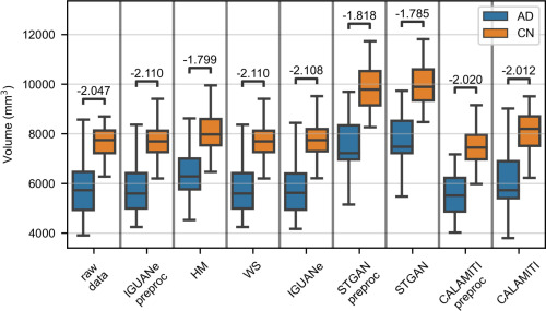
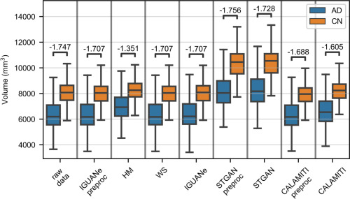
IGUANe对输入图像的改变最小,可能未能完全均化对比度,但更好地保留了相关变异性,而其他方法SSIM的增加可能源于过度均化。SSIM等像素级指标受到预处理步骤的显著影响。IGUANe显著增强了年龄与灰质体积之间的线性负相关和回归斜率,并提高了脑龄预测性能,即使在已有大型多中心训练集的情况下。年龄不平衡问题通过基于年龄的采样策略有效解决。尽管训练集只包含健康受试者,IGUANe仍能保留与AD相关的模式,维持CN和AD参与者之间海马体积的差异,并改善CN/AD分类。但原始数据在海马体积区分上效应量最大,表明和谐化并非总有必要。现有方法缺乏标准化实践,导致比较困难。CALAMITI结果可能受再现性挑战影响,其在未微调情况下的表现与本研究发现不同。本研究主要集中于T1w图像的协调,其在其他MRI模态上的泛化能力尚未充分评估。此外,对含有脑部病变图像的协调效果仍需进一步研究,可能需要更具代表性的训练群体。
Conclusion结论
05
本研究引入IGUANe,一种无监督的生成模型,用于脑部结构MR图像的跨站点协调。该模型基于多模块的对抗性训练,并特别设计以避免过度校正。在未经训练阶段的多个队列和研究中,IGUANe增强了与年龄相关的模式以及CN和AD参与者之间的差异。相比其他协调方法,IGUANe在分割一致性或预测性能方面表现出鲁棒性,有望成为未来多中心研究的有力工具,无需新的训练阶段即可协调图像。
Results结果
06
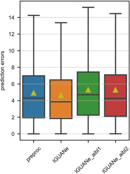
IGUANe协调后图像对比度变化不明显,但差异图显示其能根据输入图像进行多种对比度修改,且对参考域SALD图像变化最小。在旅行受试者评估中,IGUANe对图像相似度(SSIM)影响可忽略,而HM、WS、STGAN略有增加,CALAMITI显著下降。IGUANe在协调后能更好地保留主体间距离的站内相关性,远超其他方法。IGUANe协调后年龄与灰质体积之间的负相关性最强,回归斜率更陡峭,表明其增强了灰质丢失模式。其他方法则削弱了线性关系和回归斜率。在海马体积比较中,只有WS和IGUANe保留了CN组和AD组之间海马体积的效应量。未经处理的原始数据效应量最大。STGAN预处理导致海马体积高估。脑龄预测方面,IGUANe显著降低了平均绝对误差(MAE),预测年龄差异更集中于零,优于HM和WS。在CN/AD分类任务中,IGUANe在大多数评估数据集上取得了最高的准确率和AUC分数。消融研究进一步证实,IGUANe相较于其消融版本在保留年龄信息、增强年龄与灰质体积关联及提高脑龄预测方面表现更优。
Figure 图
07

图 1. IGUANe框架中模块的表示。

图 2. IGUANe训练步骤的图示。在每个步骤中,对每个源站点Sitei(i∈{1,2,...,N},按随机顺序迭代)执行该过程。在2(a)中,(i) 2张SiteRef图像和2张Sitei图像(用GenFwd转换为SiteRef)用于更新DiscFwdi,(ii) 另外2张Sitei图像和另外2张SiteRef图像(用GenBwdi转换为Sitei)用于更新DiscBwdi。在2(b)中,GenFwd和GenBwdi使用对抗性、循环一致性和身份损失,通过来自SiteRef的一张图像和来自Sitei的另一张图像进行更新。

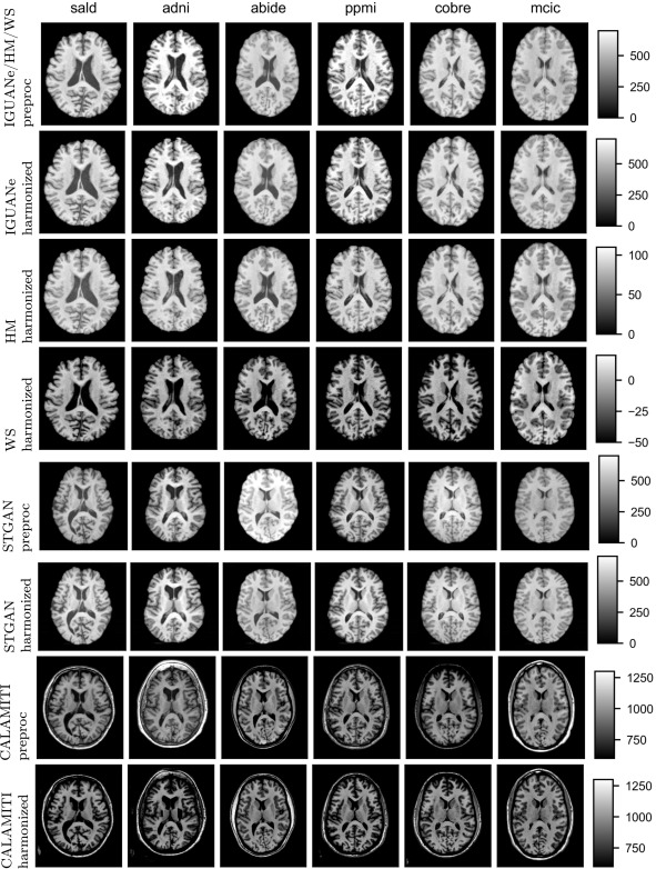
图 3. IGUANe协调的可视化。从参考域(SALD)和泛化数据集中的每个研究中随机抽取一张图像,并显示其中间轴位切片。差异图对应于体素级别的减法,即协调后的图像减去原始图像。

图 4. 旅行受试者数据集中各站点在协调前后受试者间距离。X轴和Y轴分别表示协调前后欧氏距离除以各站点内平均距离。皮尔逊相关系数(r)表示为平均值±标准差。

图 5. 泛化数据集中年龄与灰质(GM)体积的相关性。X轴和Y轴分别对应年龄和灰质体积(除以总颅内体积)。每张子图上绘制了线性最小二乘回归线。比较协调前后相关性的Steiger检验在所有方法中均产生了高度显著的结果(p<0.001)。

图 6. 临床数据集中健康参与者(CN)和阿尔茨海默病(AD)受试者之间的海马体积比较。preproc指对应协调方法预处理后的数据。箱线图上方是比较CN和AD组的Cohen's d分数。

图 7. 泛化数据集中的脑龄预测。preproc指IGUANe预处理后的图像。三角形表示平均值。在7(a)中,星号表示比较协调前后误差的显著性Wilcoxon符号秩检验(*:p<0.05;:p<0.01;*:p<0.001)。在7(b)中,预测年龄差异计算为预测年龄减去实际年龄。

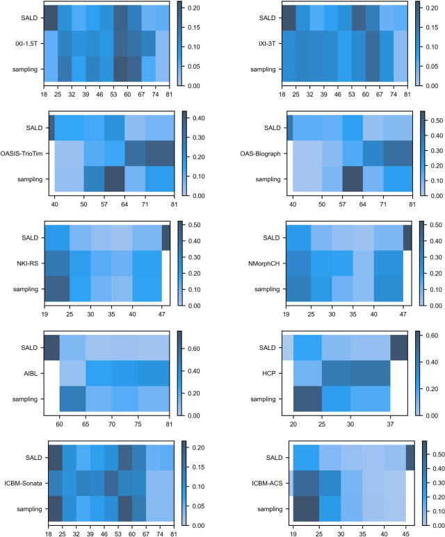
图 C.1. 训练数据集中IGUANe训练的年龄概率分布和采样。每张子图显示了SALD和源站点的年龄分布以及用于训练的采样概率。X轴上的刻度表示偏置采样使用的年龄范围。颜色强度表示每个年龄段的比例。

图 G.1. 使用不同协调方法处理后的MR图像可视化。随机抽取来自参考域(SALD)和泛化数据集中的每个研究的一张图像,并显示其中间轴位切片。preproc指对应协调方法预处理后的图像。

图 H.1. SALD数据集中10张图像样本在IGUANe协调前后图像间欧氏距离。45个点对应45对图像。距离以万为单位表示。

图 J.1. 消融研究中泛化数据集中年龄与灰质(GM)体积的相关性。X轴和Y轴分别对应年龄和灰质体积(除以总颅内体积)。每张子图上绘制了线性最小二乘回归线。

图 J.2. 消融研究中泛化数据集的年龄预测误差。preproc指IGUANe预处理后的图像。三角形表示平均值。

图 K.1. AIBL单扫描仪数据集中健康参与者(CN)和阿尔茨海默病(AD)受试者之间的海马体积比较。preproc指对应协调方法预处理后的图像。箱线图上方是比较CN和AD组的Cohen's d分数。

图 K.2. 临床数据集中STGAN预处理前后海马体积的变化。体积以mm3表示。